Ресепшн
Найдем подход к вашему ребенку
Лечение зубов без боли
Стоматология Моторный переулок 9а
Получите бесплатную консультацию от ведущих специалистов клиники
Назначьте встречу в несколько кликов
20+ лет опыта
Наши врачи всегда на связи
Честная цена
Все виды стоматологических работ производятся с использованием инновационных материалов и современного оборудования. читать дальше...
главный врач, терапевт-ортопед
Наша улыбка – обязательный атрибут успешного и продуктивного общения, а наши крепкие зубы – залог здоровья всего организма.
Перевоплощение керамическими реставрациями
Керамические реставрации Цвет BL2
Промежуточный результат выравнивания зубов с помощью брекет-системы
Керамические виниры
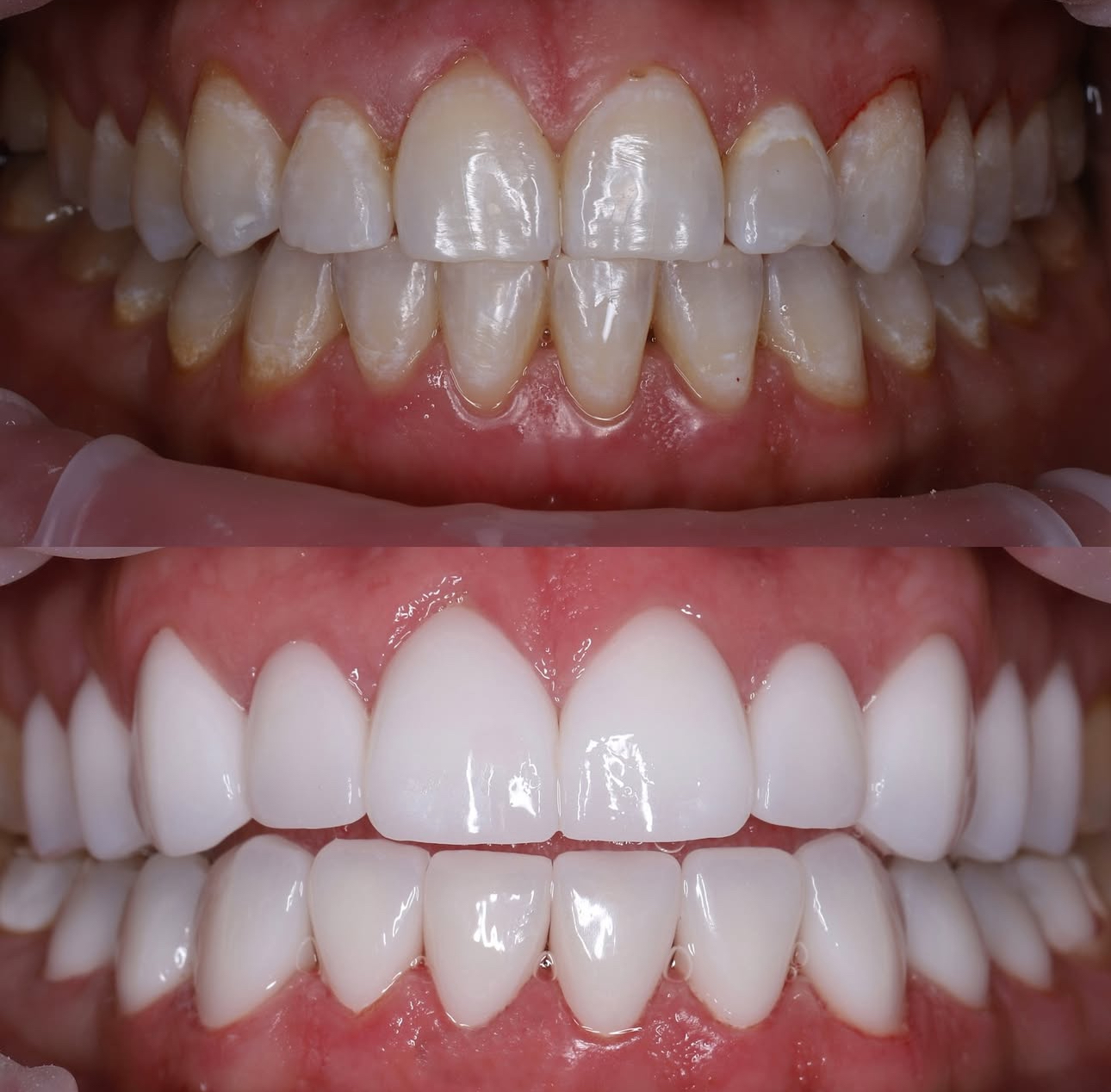
Проведена процедура отбеливания зубов Результат до и после
Установка керамических реставраций на верхней челюсти и отбеливание зубов на нижней челюсти
Защитные ретенционные капы
Максимально естественный вид керамических реставраций
Керамические реставрации Цвет BL3
Промежуточный результат ортодонтического лечения через 3 недели : положительная динамика выравнивания зубов. Пациенту 12 лет
Закрытие диастем и трем с помощью реставраций
Небный бюгель для контроля ротации моляров
Выравнивание зубного ряда с помощью керамических реставраций
Керамические реставрации
Керамическая реставрация
Детали, создающие идеальную улыбку
Косвенный метод реставрации с помощью циркониевых коронок. Скрыты щели между зубами, а также исправили прикус.
Реставрация зубов верхней челюсти керамической коронкой. Работа выполнена Мироненко А.В.
Результат кропотливой работы по полной реабилитации зубов верхней и нижней челюстей с помощью оксида циркония. Вся работа от начала до конца заняла 3 месяца. Результат – счастливая улыбка пациента. Работа выполнена Мироненко А.В.
работа ортодонта с открытым и перекрестным прикусом
работа ортодонта с несъемной ортодонтической конструкцией для расширения нижней челюсти
профессиональная гигиена полости рта
коронки из прессованной керамики
протезирование зубов металлокерамическими коронками
Все сподобалося, ціни прийнятні, співробітники ввічливі. Велика подяка Шевченкові Марині. Лікар з великої літери, рекомендую!
Сергій
Клініка чудова. Лікарі добрі професіонали своєї справи. Ми живемо в іншій країні та приїжджали до родичів у гості. Дитині 2 роки, ходили на огляд та консультацію. Нас навчили правильно чистити зубки. Все в ігровій формі. Син у захваті. Мама теж))) Усім рекомендую. Індивідуальний підхід до кожного маленького пацієнта.
Марина Іванівна
Кваліфікація спеціалістів вражає. Найновіше обладнання та чистота, підвищена увага до кожного клієнта. Світлі та чисті кабінети. Привітний персонал. Дуже сподобалось. Особливо якість роботи та матеріали. Чуйність і акуратність у роботі дуже важливі в наш час.
Анатолій
Дуже задоволена якістю та сервісом, доступні ціни. Юрієві Олександровичу окреме спасибі за його роботу. Завжди все покаже, розкаже та пояснить.
Олена