Ресепшн
Знайдемо підхід до вашої дитини
Лікування зубів без болю
Стоматологія Моторний провулок 9а
Отримайте безкоштовну консультацію від провідних фахівців клініки
Призначте зустріч у кілька кліків
20+ років досвіду
Наші лікарі завжди на зв'язку
Чесна ціна
Усі види стоматологічних робіт виконуються з використанням інноваційних матеріалів та сучасного обладнання. читати далі...
головний лікар, терапевт-ортопед
Наша усмішка – обов'язковий атрибут успішного та продуктивного спілкування, а наші міцні зуби – запорука здоров'я всього організму.
Перевтілення керамічними реставраціями
Керамічні реставрації Колір BL2
Проміжний результат вирівнювання зубів за допомогою брекет-системи
Керамічна реставрація
Проміжний результат ортодонтичного лікування через 3 тижні: позитивна динаміка вирівнювання зубів. Пацієнту 12 років
Керамічні вініри
Керамічні реставрації
Деталі, що створюють ідеальну усмішку
Вирівнювання зубного ряду за допомогою керамічних реставрацій
Керамічні реставрації Колір BL3
Максимально природій вигляд керамічних реставрацій
Закриття діастем і трем за допомогою реставрацій
Натуральна естетика та надійність - результат керамічної реставрації
Піднебінний бюгель для контролю ротації молярів
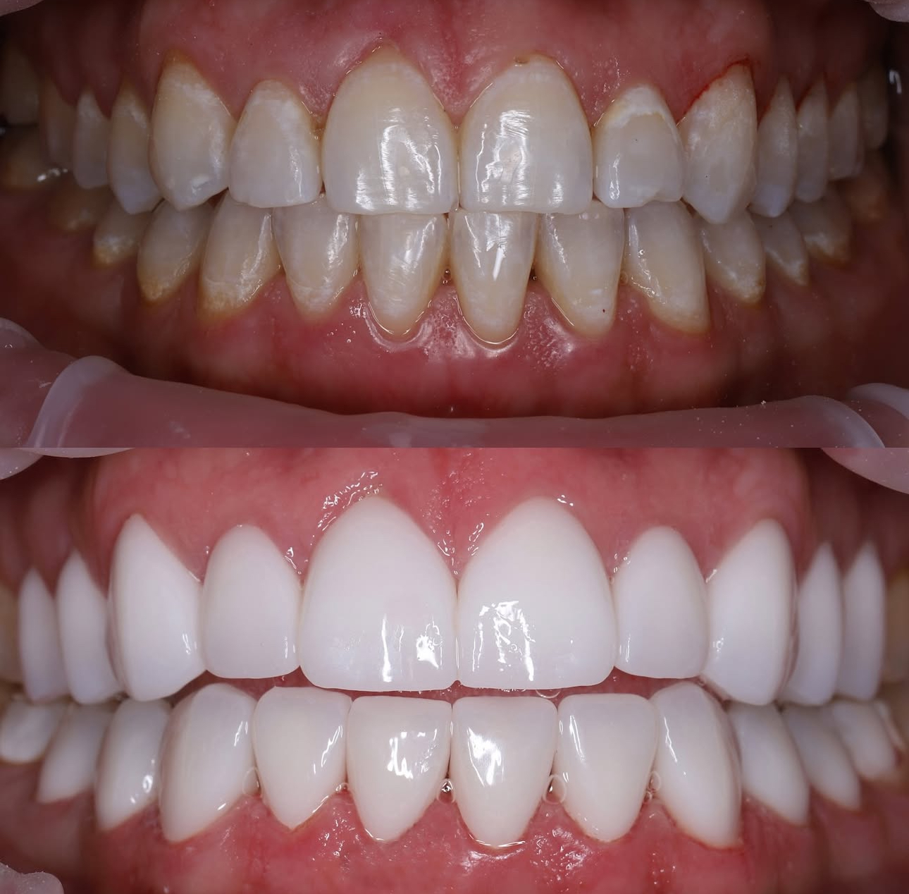
Проведено процедуру відбілювання зубів Результат до та після
Захисні ретенційні капи
Вирівнюючі апарати для наших маленьких пацієнтів
Відбілювання та вирівнювання зубів за допомогою реставрацій
Відновлення функцій та краси за допомогою керамічних реставрацій
Результат кропіткої роботи з повної реабілітації зубів верхньої та нижньої щелепи за допомогою оксиду цирконію. Вся робота від початку до кінця зайняла 3 місяці. Результат - щаслива посмішка пацієнта. Роботу виконано Мироненко А.В.
робота ортодонта з незнімною ортодонтичною конструкцією для розширення нижньої щелепи
професійна гігієна порожнини рота
коронки з пресованої кераміки
Все сподобалося, ціни прийнятні, співробітники ввічливі. Велика подяка Шевченкові Марині. Лікар з великої літери, рекомендую!
Сергій
Клініка чудова. Лікарі добрі професіонали своєї справи. Ми живемо в іншій країні та приїжджали до родичів у гості. Дитині 2 роки, ходили на огляд та консультацію. Нас навчили правильно чистити зубки. Все в ігровій формі. Син у захваті. Мама теж))) Усім рекомендую. Індивідуальний підхід до кожного маленького пацієнта.
Марина Іванівна
Кваліфікація спеціалістів вражає. Найновіше обладнання та чистота, підвищена увага до кожного клієнта. Світлі та чисті кабінети. Привітний персонал. Дуже сподобалось. Особливо якість роботи та матеріали. Чуйність і акуратність у роботі дуже важливі в наш час.
Анатолій
Дуже задоволена якістю та сервісом, доступні ціни. Юрієві Олександровичу окреме спасибі за його роботу. Завжди все покаже, розкаже та пояснить.
Олена